Вентральная грыжа диета
Картинка 2: Европейская классификация послеоперационных грыж
Картинка 3: Операция . ( Вентральная грыжа) - YouTube
Картинка 4: Вентральная грыжа: коды по МКБ-10 и классификация
Картинка 5: Вентральная грыжа: коды по МКБ-10 и классификация
Картинка 6: Грыжа после операции: что такое послеоперационная грыжа или вентральная
Картинка 7: Послеоперационная вентральная грыжа - YouTube
Картинка 8: Вентральная грыжа: факторы влияющие на появление проблемы | medded.ru
Картинка 9: Послеоперационная грыжа вентральная на животе: лечение
Картинка 10: Грыжа желудка (пищеводного отверстия диафрагмы): симптомы, лечение
Картинка 11: Послеоперационные вентральные грыжи - презентация онлайн
Картинка 12: Классические методики оперативного лечения грыж передней брюшной стенки
Картинка 13: Диета При Паховой Грыже До Операции — Похудение Диета Правильное Питание
Картинка 14: Вентральная грыжа на КТ - причины и симптомы вентральной грыжи
Картинка 15: Лучевая диагностика вентральной грыжи
Картинка 16: Вентральная грыжа. Причины возникновения, диагностика и лечение :: SYL.ru
Картинка 17: Послеоперационная вентральная грыжа — 2021 | Клинические рекомендации
Картинка 18: Ventral Hernia Repair - 3D Medical Animation - YouTube
Картинка 19:
Картинка 20: Послеоперационная грыжа живота: лечение вентральной грыжи
Картинка 21: Вентральная грыжа. Причины возникновения, диагностика и лечение :: SYL.ru
Картинка 22: Грыжа Пищевода Диета И Лечение При Обострении — Похудение Диета
Картинка 23: Послеоперационные вентральные грыжи - презентация онлайн
Картинка 24: Лечение сложной послеоперационной грыжи. Лапароскопия. - YouTube
Картинка 25: Грыжа Пищевода Диета И Лечение При Обострении — Похудение Диета
Картинка 26: Грыжа Пищевода Диета И Лечение При Обострении — Похудение Диета
Картинка 27: Вентральная грыжа передней брюшной стенки - оперативное лечение в СПб в
Картинка 28: Вентральная грыжа. Причины возникновения, диагностика и лечение :: SYL.ru
Картинка 29: Вентральная грыжа. Причины возникновения, диагностика и лечение :: SYL.ru
Картинка 30: Лучевая диагностика повреждений позвоночника - презентация онлайн
Картинка 31: Вентральная грыжа живота - Хирургия - 23.06.2019 - Здоровье Mail.ru
Картинка 32: Вентральная послеоперационная грыжа. Видео лапароскопической операции
Картинка 33: Операция Паховая Грыжа Диета — Похудение Диета Правильное Питание
Картинка 34: Послеоперационная вентральная грыжа: почему образуется грыжа после
Картинка 35: Диета после удаления вентральной грыжи живота - фото презентация
Картинка 36: Вентральная грыжа на КТ - причины и симптомы вентральной грыжи
Картинка 37: Грыжа шейного отдела симптомы причины и лечение
Картинка 38: Вентральная грыжа: лечение, установка сетки - ГБУЗ МО "Озерская ЦРБ
Картинка 39: Послеоперационная вентральная грыжа и спайки брюшной полости. Отзыв
Картинка 40: Послеоперационная вентральная грыжа. Операция. Герниопластика Sublay
Картинка 41: Вентральная грыжа на КТ - причины и симптомы вентральной грыжи
Картинка 42: ГРЫЖИ Кафедра факультетской хирургии МИ ЯГУ Общие
Картинка 43: Вентральная грыжа на КТ - причины и симптомы вентральной грыжи
Картинка 44: Обучение по теме: Что такое вентральная грыжа пупочная
Картинка 45: Вентральная грыжа: причины, симптомы, диагностика и лечение в клинике
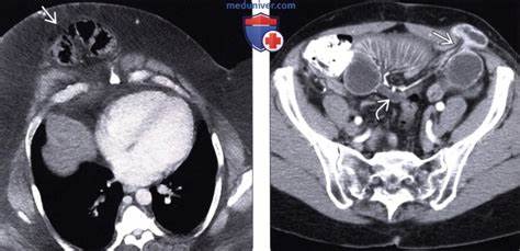
Картинка 46: Есть ли вентральная грыжа? | Портал радиологов
Картинка 47: Вентральная грыжа, содержащая часть сальника и петлю поперечной
Картинка 48: Вентральная стабилизация С1-С2 у карликовых пород собак - YouTube
Картинка 49: Вентральная грыжа: оперативные методы лечения - Клиника Современных
Картинка 50: Есть ли вентральная грыжа? | Портал радиологов
Картинка 51: Послеоперационная вентральная грыжа(ИБ) - Docsity
Картинка 52: Разущемившаяся вентральная грыжа
Картинка 53: Перитонит: причины, симптомы, лечение
Картинка 54: Послеоперационная вентральная грыжа - YouTube
Картинка 55: Разущемившаяся вентральная грыжа
Картинка 56: Вентральная грыжа. О симптомах, диагностике и лечении рассказывает
Картинка 57: Послеоперационная или вентральная грыжа - YouTube
Картинка 58: Вентральная грыжа: симптомы и терапия
Картинка 59: Вентральная грыжа. Причины возникновения, диагностика и лечение :: SYL.ru

Диете 1000 ккал в день

Отзывы о диете по борменталю

Трехдневная диета с рисом

Гречневая диета форум отзовик

Как выйти с банановой диеты

Спортивные упражнения как похудеть

Как похудеть в 10 лет девочке за один день

Желчный пузырь диета список

Что нужно есть чтобы похудеть в животе женщине

Убрать жир с животе дома

Основные диеты в питании

Жиросжигатели продукты для похудения женщин в домашних условиях

Как похудеть при занятиях гантелями

Диета стаса милеева

Сколько калорий нужно потреблять чтобы похудеть

Жп диета что

Суп для похудения кто похудел

Похудеть на 15кг за 2 недели отзывы

Похудеть с мантрами

Какие строгие диеты